10 Incredible Facts About Human Brain


1. Human brain cells, the universe, and the internet all have similar growth patterns.

Brain cells and the universe
Image source: sprott.physics.wisc.edu



2. Despite being only two percent of the body’s weight, the human brain consumes 20% of the energy used by the entire body. 

Brain's Energy Consumption
Image Source: Karen Carr

3. Brain tissue the size of a grain of sand contains 100,000 neurons and one billion synapses, all communicating with each other. 

Neurons
Image credit: pixabay, ZEISS Microscopy
There are a total of more than 86 to 100 billion neurons in an adult human brain and just as many numbers of other cells.

4. The human brain has a capacity of 2.5 petabytes, that is 2.5 million gigabytes.

Brain Storage Capacity
Image Source: amy leonard/CC BY-ND 2.0
Actually its impossible to measure precisely the brain’s capacity to store data.  Since a single neuron has the ability to connect with thousands of other neurons, it is capable of assisting with more than one memory at a time. This increases the brain’s storage capacity exponentially to something close to 2.5 petabytes. To put that into perspective, if those 2.5 petabytes of data were a digital video, it would take 300 years to finish playing it.(source)

5. About 60% of the dry mass of adult brain is made of fat; that’s approximately 25% of the total cholesterol in human body.

Human brain and body
Image credit: Hikmet Gümüş/Wikimedia, Pixabay

6. Though human babies are born with large brain compared to their body size, the brain doesn’t reach complete maturity until the age of 25. Until then, the brain keeps on developing.

Brain Development
Image Source: Paul Thompson / UCLA School Of Medicine

7. Depending on how deep a thinker you are, your brain generates as many as 12,000 to 50,000 thoughts per day. 

Thoughts
Image credit: leandrodecarvalhophoto/pixabay
However, the sad part is more than 70% of these thoughts are negative.(source)



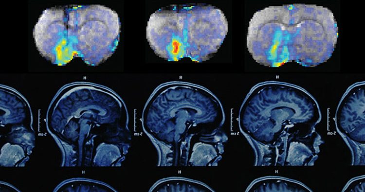
8. When you orgasm, your brain releases so much dopamine that a brain scan would resemble that of someone on heroin. 

MRI Dopamine Concentrations
Image Source: Christine Daniloff/MIT
Dopamine is one of the chemicals that affect your mood, the feeling of satiation, desire for intimacy, and also your susceptibility to addictions. Dopamine is the primary neurotransmitter of activities like eating, sex, or recreational drug use result in its release and hence you feel pleasure. When you are sexually aroused its levels rise making you feel good..(1,2)

9. There are no nociceptors in the brain, so the brain itself cannot feel pain.

Brain Feel No Pain
Image credit: Patricio_/pixabay
The headaches are actually pains from different parts of your face like the sinus or the top of the mouth.  The brain is not very good at identifying the exact location thats the reason you feel pain inside your brain. Another example is how people having a heart attack feel pain in their arm instead of at the heart.(source)

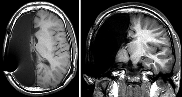
10. The brain is so plastic that it can rewire itself to let you have a normal life even after half of your brain is removed.

Hemispherectomy
Image Source: amegroups
Neuroplasticity is commonly observed in children who undergo hemispherectomy for epilepsy, a surgery that requires disabling half the brain or disconnecting the two cerebral hemispheres, and also in individuals who undergo surgery for brain trauma, stroke, epilepsy, or other such problems..(source)

Powered by Blogger.